Sensibilisation à l'AVC: une journée mondiale saluée par les concernés
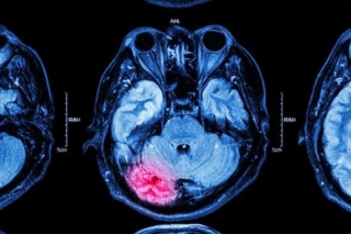
L’accident vasculaire cérébral concerne chaque année environ 16’000 Suisses.

L’accident vasculaire cérébral concerne chaque année environ 16’000 Suisses.
Appelé aussi attaque cérébrale, ses conséquences, parfois visibles, parfois invisibles, sont souvent mal connues, au point qu’une journée mondiale de sensibilisation a été consacrée le 29 octobre à l’AVC.
FRAGILE Suisse accompagne ces personnes et leurs proches dont les vies ont été bouleversées en une fraction de seconde.
Elle dispose notamment d’une Helpline au 0800 256 256 pour leur venir en aide car souvent, elles ne savent pas vers qui se tourner, explique Isabelle Gay-Crosier, responsable communication de FRAGILE Suisse pour la Romandie (interview ci-dessous). Le choc est violent, rarement prévisible et la progression pour retrouver quelques parcelles ou plus d’autonomie est lente, reconnaît Christian Salamin (interview ci-dessous). Entrepreneur, le Leytronain a été foudroyé, à peine sa cinquantaine entamée, il y a 14 mois. Aujourd’hui, il essaie de se reconstruire, jour après jour, après avoir dû renoncer à son travail, à son permis et à une multitude d’activités qui embellissaient son quotidien. Un combat qui consiste à donner à son corps une nouvelle façon de vivre… Oublier, dit-il aujourd’hui, qui on était et redevenir quelqu’un de différent.
Depuis plus de 25 ans, FRAGILE Suisse offre aux personnes cérébro-lésées et à leurs proches un service d’aide-conseil, des accompagnements à domicile, des cours et formations pour les personnes concernées, mais aussi pour les professionnels. Elle propose également du coaching et de l’aide à la réinsertion. A découvrir sur le site www.fragile.ch.
